Marek's Disease. Questions, Questions, Questions...HELP!

400



The silver seabright hen on the far left ( yes I trimmed her wings because she was tripping over them) she was the first to go. You can sort of tell her legs just are not right. All three are now gone.
 
Here are the pictures that go with the Merek's section of the AAAP Manual.

Fig. 1; Marek's Disease; NCSU Typical paresis HJ Barns; NCSU


Fig. 2; Marek's Disease; UC Davis Infiltration of iris HL Shivaprasad; CAHFS, UC Davis


Fig. 3; Marek's Disease; UC Davis Sciatic plexus enlargement HL Shivaprasad; CAHFS, UC Davis


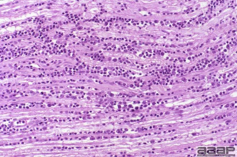
Fig. 4; Marek's Disease; NCSU Nerve enlargement & loss of striations HJ Barns; NCSU


Fig. 5; Marek's Disease; NCSU Discoloration of iris HJ Barns; NCSU


Fig. 6; Marek's Disease; Cornell U Infiltration of feather follicles Cornell University


Fig. 7; Marek's Disease; UC Davis Visceral tumors HL Shivaprasad; CAHFS, UC Davis


Fig. 8; Marek's Disease; UC Davis Liver tumors HL Shivaprasad; CAHFS, UC Davis


Fig. 9; Marek's Disease; UC Davis Heart tumors HL Shivaprasad; CAHFS, UC Davis


Fig. 10; Marek's Disease; UC Davis Kidney tumors HL Shivaprasad; CAHFS, UC Davis


Fig. 11; Marek's Disease; NCSU Proventricular tumor HJ Barns; NCSU


[FONT=Arial,Bold][FONT=Arial,Bold][FONT=Arial,Bold]Fig. 12; Marek's Disease; UC Davis [/FONT]Nerve infiltration (HP) HL Shivaprasad; CAHFS, UC Davis[/FONT][/FONT]​


Source:




 
We do have the manual along with chicken anatomy and physiology, and many other disease's of poultry books. The books, however will probably not even be used. Organs will be sent to pathology for examination. I just want to see what is "growing" in my chicken. I'm curious to make sure it is Marek's, and hopefully learn more about the disease in the process.
 
Last edited:
I'll also be doing a necropsy tomorrow, but I'll be doing it by myself, on my lawn, lol. Luckily for me, Dr Shivaprasad, the avian pathologist at the UC Davis CAHFS Lab that I use likes to have pictures sent to him. Should be interesting if nothing else.
 
Lol well mine won't be on a lawn for sure. But whatever gets the job done!
 
I recently had a run in with marek's in ONLY my seabright hens. How strange right? These hens were said to be vaccinated when chicks. They were all at least 6 months of age when they started showing clinical signs. Isn't that a little old? They have all passed (humanely euthanized) because I could not bare seeing them like that anymore. I have one that we may open up tomorrow at work and I am curious to see the lymphoma tumors inside her. Anyone else curious?
I am so distraught over this and confused at the same time. I have read so many articles on Marek's and it seems it usually only affects the younger guys and vaccination helps. Are bantams more susceptible to the disease? Has anyone else dealt with this? Is anyone curious to see photos?

Hi, folks ... not that I'm an authority on the subject, but there seems to be great misinformations in regard to Marek's Disease ... there are on occassion other diseases w/ similar symptoms, and also different types of Marek's as well.

First, and I hate to tell ya this, but there's no such thing as havin' Marek's in ONLY certain birds -- even those that were innoculated will now most probably carry the disease for life, and even if every bird were destroyed, it will remain viable w/in their environments for months.

If you're considering performing your own necropsy, I'm always up for any opportunities to see somethin' new, but -- worth takin' a look at the following link >> peck here << to see Cornell University's Atlas of Avian Diseases (opens to Marek's Disease, in a new window ~'-)

Also, there's an excellent online presentation on the anatomy of the chicken: >> peck here << to open it's introduction in a new window ~'-)
 
I am very well aware that there are certain types of Marek's. i said ONLY my seabright hens because they are the ONLY clinically ill birds. No one knows for sure every other chicken of mine had Marek's. Four board certified veterinarians, one veterinarian specializing in Avians, and I all talked about Marek's today. I was informed that all birds will not probably carry the disease, and at their age, they are almost completely safe also, the birds being vaccinated helped. I have found there is a lot of misleading information on the web but this information from this forum seems to be true. I have learned a lot about Marek's disease today from work and I'm grateful I get to work in such a place where I can ask my boss "what's wrong with my bird?" The necropsy was very helpful to. I deal with many nasty tumors on a day in day out basis on animals at work, but let me tell ya, these were something else.
 
The ones that where ill, poultry hollow hatchery, it's a local hatchery in tennessee.
 
I'll also be doing a necropsy tomorrow, but I'll be doing it by myself, on my lawn, lol. Luckily for me, Dr Shivaprasad, the avian pathologist at the UC Davis CAHFS Lab  that I use likes to have pictures sent to him. Should be interesting if nothing else.

Did you get to do your at home necropsy? Were you as saddened as me?

Also, here is a piece of an article done by a doctor at an avian medical center. I found this very interesting. How neat.

Cancer research in the 1960s was given a huge boost when the causative agent of Marek's, a herpesvirus, was finally isolated, and shown to produce visceral tumors. Shortly thereafter, viral attenuation and the successful development of a vaccine brought the world the first effective cancer vaccine. The virus continues to be used as a model of oncogenic herpesvirus infections. Current research has, after finding apparent atherosclerotic lesions in chickens infected with the virus, used this as a model for similar human vascular conditions.
 

New posts New threads Active threads

Back
Top Bottom